高槻の歯医者|JR高槻・阪急高槻市駅すぐの歯科医院
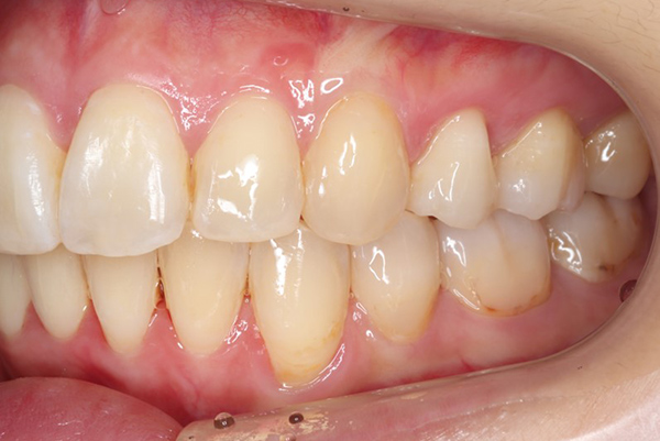
隙間があるまま被せ物を入れてしまうと歯が大きくなってしまい不自然な形になってしまうので、
まずMTM(小矯正)を行いラミネートベニアを2本(最小限の形成)入れることで満足して頂けることが出来ました。

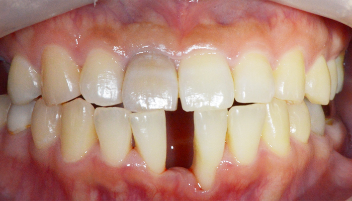
初診時の口腔内5枚法写真です。前歯の隙間と形、色が気になると言って来院されました。
口腔内を確認してみると、左上の前歯の色が黄色味が濃く歯が窪んでいます。
また、反対側の歯は切縁のところにホワイトスポット(白い斑点)が見られました。
隙間があるまま被せ物を入れてしまうと歯が大きくなってしまい不自然な形になってしまうので、
まずMTM(小矯正)を行いラミネートベニアを2本(最小限の形成)入れることを提案し、治療を行なっていくこととなりました。

インビザラインを用いて、まずは隙間を埋める処置と下顎前歯の叢生(ガタガタ)を治しました。
これくらいの叢生であれば大体3~6か月できれいに治ります。

一定期間の保定期間(MTMをした期間と同じ期間)を経たのちに、ラミネートベニアの形成を行いセットしました。
色や形も他の歯と調和しており、本物の歯のように仕上げることが出来ました。
患者様も初診時の主訴を解決することが出来、とても満足していただけました。

| 治療内容 | インビザラインと ラミネートベニア |
|---|---|
| 治療期間 | 約半年 |
| 治療費 | 330,000円(税込・インビザライン) 132,000円(税込・ラミネートベニア)×2 |
| トータル | 594,000円(税込) |
| リスク | 後戻りの可能性があります。 (最低半年は保定装置を着用) |
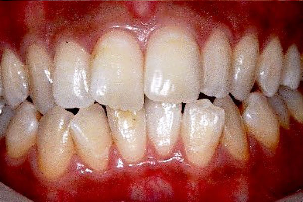
前歯の隙間を気にされておられたのでインビザライン ライトにて隙間を閉じました。右上の2番目の歯が矮小歯(小さい歯)だったのでコンポジット(白い詰め物)で隙間を埋めています。

| 主訴 | 前歯の隙間が気になる |
|---|---|
| 治療内容 | インビザライン ライト |
| 治療期間 | 約半年 |
| 治療費 | 440,000円(税込) |
| リスク | 最低でも半年ほど保定装置をしてないと後戻りの可能性があります |
下の前歯の隙間を気にされておられたのでインビザライン ライトにて隙間を閉じました。
元々歯茎が退縮しており、隙間が目立っていたのでコンポジット(白い詰め物)で隙間を埋めています。

| 主訴 | 前歯の隙間が気になる |
|---|---|
| 治療内容 | インビザライン ライト |
| 治療期間 | 約1年 |
| 治療費 | 330,000円(税込) |
| リスク | 最低でも半年ほど保定装置をしていないと後戻りの可能性があります |
八重歯と前歯のガタガタを気にされておられたので、インビザラインフルにて改善しました。途中アライナー(マウスピース)が少し適合が甘くなったので再スキャンを一回(無料)しております。

| 主訴 | 八重歯と歯のガタガタが気になる |
|---|---|
| 治療内容 | インビザラインフル |
| 治療期間 | 約1年 |
| 治療費 | 880,000円(税込) |
| リスク | 最低でも半年ほど保定装置をしていないと後戻りの可能性があります |
前歯のガタガタを気にしておられました。また、うまく噛み合っておらずお食事をしづらいとのことでした。インビザラインフルにて改善しました。途中アライナー(マウスピース)が少し適合が甘くなったので再スキャンを2回(無料)しております。

| 主訴 | 歯のガタガタが気になり、 噛みにくい。 |
|---|---|
| 治療内容 | インビザライン フル |
| 治療期間 | 約1年半 |
| 治療費 | 880,000円(税込) |
| リスク | 最低でも半年ほど保定装置をしてないと後戻りの可能性があります |
子供の頃矯正をしていたが途中でやめてしまい、前歯のガタガタを気にして来院されました。インビザラインフルにて改善しました。途中アライナー(マウスピース)が少し適合が甘くなったので再スキャンを1回(無料)しております。

| 主訴 | 歯のガタガタが気になる。 |
|---|---|
| 治療内容 | インビザライン フル |
| 治療期間 | 約1年 |
| 治療費 | 880,000円(税込) |
| リスク | 最低でも半年ほど保定装置をしていないと後戻りの可能性があります。 |
スタッフの患者様への応対やコミュニケーション、歯科医師の技術という3点に特に力を入れて患者様の診療を受け入れるようにしています。これは歯科医療の総合的な質を高めていくことが大切な事であると考えているからです。
私達は患者様からお口の健康を任せていただけるように、頼りがいのある歯科医院を目指しています。

阪急高槻市駅から徒歩2分の歯医者・歯科「さくら歯科クリニック」は大阪府高槻市の総合歯科医院です。虫歯治療や予防歯科などの一般歯科から、各専門医による高度で精密なインプラント・審美歯科などの専門歯科治療まで幅広く対応しています。
診療時間:9:30-18:30(水曜:9:30-13:30)
休診日:日曜日・祝日