高槻の歯医者|JR高槻・阪急高槻市駅すぐの歯科医院

Instagram

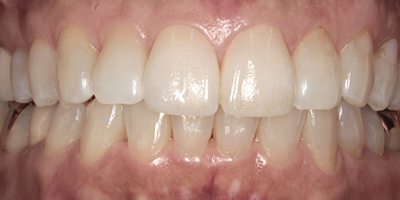
Orthodontic Cases矯正(インビザライン) 症例集

大阪府高槻市の歯医者|さくら歯科クリニック

大阪府高槻市で歯医者をお探しの方
ご予約・ご相談はお気軽にどうぞ ▼

24時間WEB予約

Case Records

矯正(インビザライン) 症例集

当院では、矯正の専門医が在籍しているため幅広い症例に対して治療が可能です。一人一人に合った治療方法をご提案いたします。

 

矯正歯科治療、歯列矯正とは、悪い歯並びや噛み合わせを正しい位置や状態に矯正し、正しくかみ合うきれいな歯並びにしていく治療です。歯並びに問題があったり、上下の歯のかみ合わせが悪い状態のことを不正咬合といいます。

高槻市のさくら歯科クリニックの矯正歯科は、お子様だけではなく、大人になってからでも治療を行えます。審美性だけでなく、咬合関係、機能性、衛生面といった様々なお口の健康問題も改善できるように治療致します。

当院では患者様の満足度調査を
実施しております。

日本⻭科医療評価機構がおすすめする大阪府高槻市・高槻市駅の⻭医者・スマイルプラン さくら歯科クリニックの口コミ・評判

※ 日本歯科医療評価機構とは

ネットで歯科医院を検索してみたが、どこに行けばいいか分からない、
診療時間や場所のメリットだけではなく、本当に信頼して通える歯科医院を探したい、
そんな患者さんのために本当に信頼して通える歯科医院を評価・認定することを目的した組織です。

SMILE PLAN GROUP

精密な歯科治療で、
あなたの大切な歯を守ります。

大阪府高槻市の歯医者|さくら歯科クリニック

阪急高槻市駅から徒歩2分の歯医者・歯科「さくら歯科クリニック」は大阪府高槻市の総合歯科医院です。虫歯治療や予防歯科などの一般歯科から、各専門医による高度で精密なインプラント・審美歯科などの専門歯科治療まで幅広く対応しています。

  • 阪急高槻市駅より徒歩2分
  • 各種保険診療対応
  • 土曜診療
  • 無料託児サービス

大阪府高槻市で歯医者をお探しの方
ご予約・ご相談はお気軽にどうぞ ▼

24時間WEB予約

WEB予約が埋まっていても、
当日受診可能な場合がございますのでお電話ください

診療時間:9:30-18:30(水曜:9:30-13:30)

休診日:日曜日・祝日