高槻の歯医者|JR高槻・阪急高槻市駅すぐの歯科医院
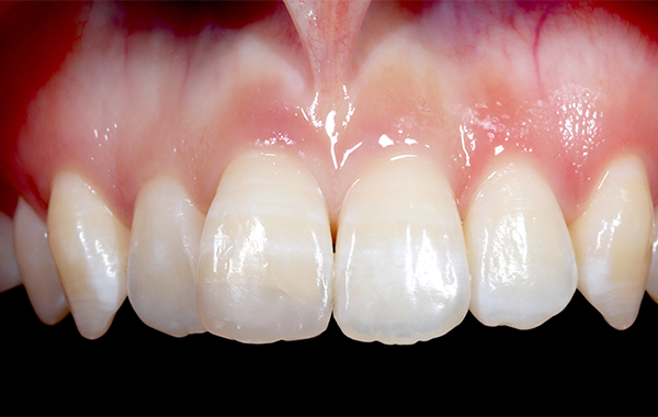
前歯が欠けてしまい、他院にてCR(樹脂)を詰めてもらったが色が気になるとの事でした。
保険でCRを詰めることを当院でも行っておりますが、より目立たないようにすることも出来ます(自費CR)。
殆ど目立たないようになり、患者様に満足していただきました。

| 主訴 | 詰め物の色が気になる |
|---|---|
| 治療内容 | ダイレクトボンディング |
| 治療期間 | 1回 |
| 治療費 | 55,000円(税込) |
| リスク | 嗜好品(コーヒー、紅茶、タバコetc)により着色しやすくなります |
スタッフの患者様への応対やコミュニケーション、歯科医師の技術という3点に特に力を入れて患者様の診療を受け入れるようにしています。これは歯科医療の総合的な質を高めていくことが大切な事であると考えているからです。
私達は患者様からお口の健康を任せていただけるように、頼りがいのある歯科医院を目指しています。

阪急高槻市駅から徒歩2分の歯医者・歯科「さくら歯科クリニック」は大阪府高槻市の総合歯科医院です。虫歯治療や予防歯科などの一般歯科から、各専門医による高度で精密なインプラント・審美歯科などの専門歯科治療まで幅広く対応しています。
診療時間:9:30-18:30(水曜:9:30-13:30)
休診日:日曜日・祝日