高槻の歯医者|JR高槻・阪急高槻市駅すぐの歯科医院
                
 
 左側で噛むと痛いとの事で来院されました。
            一度保存を試みましたが、症状が改善せずに抜歯になりました。
            無くなったところの治療法として、入れ歯やブリッジ、インプラントが挙げられますが、この方の場合右上に綺麗な親知らずが残っていたのでその歯を移植することにしました。
            移植した歯は定着しており、移植後5年以上経過した今も問題なく機能しております。

| 主訴 | 左側で噛むと痛い。 | 
|---|---|
| 治療内容 | 移植 | 
| 治療期間 | 約半年 | 
| 治療費 | 約 10,000円(保険治療) | 
| リスク | 親知らずの根の形によっては移植できない場合があります。 移植は100%成功するわけではありません。  | 
                        
初診時のパノラマX線写真です。
                    再根管治療を行い一度は軽快しておりましたが、また痛みが出てきてしまいました。

パノラマX線写真(右)を撮ると病変が大きくなってしまっており、抜歯しないといけない状態でした。
                    歯を抜いた後の治療法として、入れ歯やブリッジ、インプラントが挙げられますが、この方の場合右上に綺麗な親知らずが残っていたのでその歯を移植することにしました。

 
 
 移植直後の状態です。(左)根っこの治療をした状態です。
            (右)1ヶ月経過しておりますが状態は安定しており、歯槽骨(支えている骨)も少しずつできてきております。
            移植後3ヶ月経過した状態です
            根っこの周りに
            歯槽骨がしっかりでき、被せ物が入れられる状態
            になりました。 
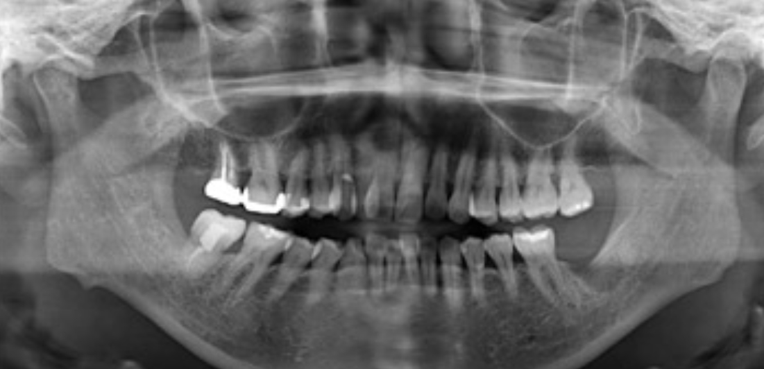
移植後5年以上経過したパノラマX線写真です。
                    歯槽骨が吸収することなく現在も安定した状態をキープしております。

 
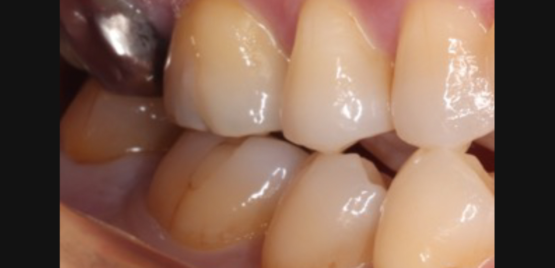
 口腔内写真です。特に炎症もなく 経過しております。
 
 奥歯がグラグラするとの事で来院されました。精密検査の結果、下の奥歯2本が保存不可能の状態でした。
無くなったところの治療法として、入れ歯やブリッジ、インプラントが挙げられます。この方の場合右下に綺麗な親知らずが残っていたのでその歯を移植することにしました。
左下は残念ながら補綴処置が必要になりますが、移植をしたメリットは大きいと思われます。

| 主訴 | 奥歯がグラグラする。 | 
|---|---|
| 治療内容 | 移植 | 
| 治療期間 | 約半年 | 
| 治療費 | 約 10,000円(保険治療) | 
| リスク | 親知らずの根の形によっては移植できない場合があります。 移植は100%成功するわけではありません。  | 
                        
初診時のパノラマX線写真です。左下の奥歯は支える骨が根尖までかなり吸収してしまっており、残念ながら抜歯になりました。
右下の奥歯に関してもパノラマX線写真ではそれほど骨吸収を起こしていなさそうでしたが、歯周ポケットを測ってみるとこちらも根尖の方まで吸収している事がわかりました。

右下の当該歯の部分をCT撮影してみると、頬側の骨が全くなく残すことが出来ない状態でした。 ただ、右下に関しては奥に親知らずが残っていたので、それを移植して咬合機能を回復させていくことにしました。

親知らずのサイズを計測し、
移植できることを確認しました。

 
 移植した状態です。炎症もなく問題なく経過しているのがわかります。
 
 被せ物が入った状態です。何ら問題なく機能しております。
 
 移植後のパノラマX線写真です。左下の奥歯は残念ながら欠損部をそのままにしておくと噛み合わせが崩壊していくので何かしらの補綴処置が必要になりますが、 右下の奥歯に関しては親知らずを移植することで、機能を回復する事ができました。
他の医院で抜歯を断られた。
                    大学病院を紹介された。
                    親知らずの抜歯が怖い。
親知らず専門外来では専門的な治療を提供致しております。
                    まずは一度、治療相談にお越し下さい。

                        阪急高槻市駅から徒歩2分の歯医者・歯科「さくら歯科クリニック」は大阪府高槻市の総合歯科医院です。虫歯治療や予防歯科などの一般歯科から、各専門医による高度で精密なインプラント・審美歯科などの専門歯科治療まで幅広く対応しています。
	
	
診療時間:9:30-18:30(水曜:9:30-13:30)
休診日:日曜日・祝日