高槻の歯医者|JR高槻・阪急高槻市駅すぐの歯科医院
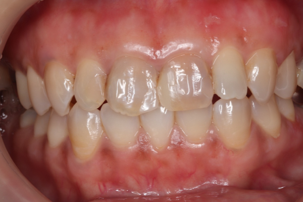
歯茎の色が段々黒くなってきているのが気になるとのことで来院されました。口腔内を確認すると所々歯茎が黒くなっていました。黒くなる原因にメラニンの色素沈着があります。
色素沈着は先天的なものと後天的なものがあり、後天的な主な原因はタバコです。ガムピーリングをする事で元のピンク色になったと満足していただきました。

| 治療内容 | ガムピーリング |
|---|---|
| 治療期間 | 約2週間 |
| 治療費 | 11,000円(税込) |
| リスク | 場合によってはご希望の白さ までならない場合があります。 その場合は被せ物を お勧めしております。 |
歯茎の色が段々黒くなってきているのが気になるとのことで来院されました。口腔内を確認すると所々歯茎が黒くなっていました。黒くなる原因にメラニンの色素沈着があります。
色素沈着は先天的なものと後天的なものがあり、後天的な主な原因はタバコです。ガムピーリングをする事で元のピンク色になったと満足していただきました。

| 治療内容 | ガムピーリング |
|---|---|
| 治療期間 | 約2週間 |
| 治療費 | 11,000円(税込) |
| リスク | 喫煙によりまた黒くなる事があります。 |
歯茎の色が段々黒くなってきているのが気になるとのことで来院されました。口腔内を確認すると所々歯茎が黒くなっていました。黒くなる原因にメラニンの色素沈着があります。
色素沈着は先天的なものと後天的なものがあり、後天的な主な原因はタバコです。ガムピーリングをする事で元のピンク色になったと満足していただきました。

| 治療内容 | ガムピーリング |
|---|---|
| 治療期間 | 約2週間 |
| 治療費 | 11,000円(税込) |
| リスク | 喫煙によりまた黒くなる事があります。 |
阪急高槻市駅から徒歩2分の歯医者・歯科「さくら歯科クリニック」は大阪府高槻市の総合歯科医院です。虫歯治療や予防歯科などの一般歯科から、各専門医による高度で精密なインプラント・審美歯科などの専門歯科治療まで幅広く対応しています。
診療時間:9:30-18:30(水曜:9:30-13:30)
休診日:日曜日・祝日